+918048034562
Currently it only shows your basic business info. Start adding relevant business details such as description, images and products or services to gain your customers attention by using Boost 360 android app / iOS App / web portal.

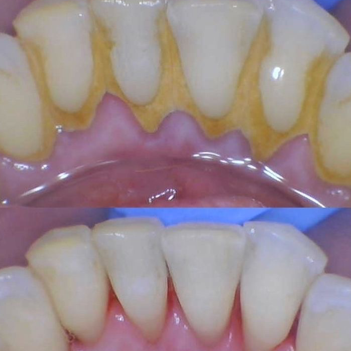
Dental Scaling – Benefits, Procedure & Why It’s Important | Dr. Preethi’s Dental Den, Ravet Dental scaling is one of the most essential professional dental cleaning procedures to maintain healthy teeth and gums. At Dr. Preethi’s Dental Den in Ravet, we recommend routine scaling to prevent gum disease, bad breath, and plaque accumulation. Even with regular brushing and flossing, bacteria and tartar build up over time. Scaling helps remove these deposits and keeps your smile fresh and healthy. What Is Dental Scaling? Dental scaling is a deep-cleaning procedure that removes plaque, tartar (calculus), and bacterial toxins from the tooth surface and below the gumline. Once tartar hardens, it cannot be removed at home and requires professional dental instruments. The process is quick, painless, and highly effective in preventing gum diseases. Why Is Scaling Necessary? Over time, food particles and bacteria form sticky plaque on the teeth. If not cleaned properly, plaque hardens into tartar. Tartar is the main cause of: • Bleeding gums • Gingivitis (early gum infection) • Bad breath • Gum recession • Bone loss and loose teeth in advanced gum disease Scaling helps prevent these problems and maintains long-term oral health. How Dental Scaling Is Done At our clinic, dental scaling is performed using advanced ultrasonic scalers along with hand instruments for fine cleaning. Step-by-Step: 1. Oral examination to check gum health and tartar deposits. 2. Ultrasonic scaling: Vibrations break down hard tartar while a water spray flushes it out. 3. Hand scaling for detailed cleaning in smaller areas. 4. Polishing to smoothen the tooth surface and reduce future plaque buildup. The procedure usually takes 20–30 minutes and is comfortable for most patients. Mild sensitivity for a few hours is normal. Benefits of Dental Scaling • Cleaner, whiter-looking teeth • Fresh breath • Reduced gum bleeding • Prevention of gum disease • Stronger gum health • Lower risk of tooth mobility • Better overall oral hygiene Regular scaling also enhances the effectiveness of other dental procedures like whitening and restorative treatments. How Often Should You Get Scaling Done? Most patients need scaling every 6 months. However, smokers, diabetics, pregnant women, and people with gum infections may need more frequent cleanings. Your dentist will guide you based on your oral condition. Why Choose Dr. Preethi’s Dental Den for Scaling? • Gentle and comfortable cleaning • Painless ultrasonic technology • Experienced dentist trained in aesthetic and preventive dentistry • Hygienic, patient-friendly environment • Personalized dental care Best dental clinic in ravet for cleaning Best dentist in ravet, Kiwale, punawale, pcmc